Crowded Teeth Versus Gaps in Teeth: Treating Both Issues

crowded teeth gaps in teeth

How We Treat Gaps and Spaces

Whether you’ve noticed extra space between your front teeth or you’re dealing with crowded teeth that have shifted and left uneven gaps, you’re not alone. Spacing issues are among the most common reasons people visit us at My Orthodontist in Cherry Hill, and the good news is that we have highly effective solutions for patients of all ages.

Why Gaps and Spacing Issues Happen

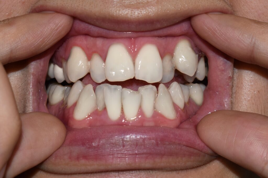
Gaps in teeth can develop for a number of reasons. Sometimes a tooth is simply smaller than the space available for it in the jaw, leaving noticeable gaps on either side. In other cases, a tooth may be missing entirely, either due to loss or because it never developed, and the surrounding teeth drift to fill the void unevenly. Habits like thumb-sucking in childhood, gum disease, or even the natural size and shape of the jaw can also contribute to spacing problems.

 

her end of the spectrum, crowded teeth occur when there isn’t enough room in the mouth for all of the teeth to sit comfortably. Crowding can actually worsen gaps in other areas as teeth shift and overlap, making the overall bite less stable and harder to clean.

Why Treatment Matters

It can be tempting to think of gaps in teeth as a purely cosmetic concern, but spacing issues often have functional consequences as well. Gaps can trap food and bacteria, increasing the risk of cavities and gum disease. Crowded teeth present similar challenges since overlapping surfaces are difficult to brush and floss properly. Beyond oral health, misalignment from spacing issues can affect the way you bite, speak, and chew over time. Treating gaps and spaces early helps protect your smile for the long haul.

How We Close Gaps and Create Balance

At My Orthodontist in Cherry Hill, we offer several treatment options depending on the nature and severity of your spacing concerns.

 

  1. Traditional braces are one of our most reliable tools for addressing gaps in teeth. By applying consistent, calibrated pressure over time, braces gradually move teeth into their ideal positions, closing unwanted spaces and correcting crowded teeth simultaneously. They are especially effective for more complex cases that involve multiple spacing issues throughout the mouth.
  2. Clear aligners, including Invisalign, are another excellent option. Custom-fitted to your teeth and updated in stages throughout treatment, aligners are a popular choice for patients who want a more discreet path to a straighter smile. They work well for mild to moderate gaps as well as cases of crowded teeth that need careful repositioning.
  3. Clear ceramic braces offer a middle ground: the reliability of traditional brackets and wires with a more subtle, tooth-colored appearance. Many of our Cherry Hill patients appreciate this option when they want the strength of braces without the visibility of metal.

 

In some situations, we may recommend a combination approach. For example, if a patient has a gap caused by a missing tooth, we may coordinate with their dentist to ensure space is properly maintained or prepared for a future restoration, while we address surrounding alignment with orthodontic treatment.

What to Expect During Treatment

Every patient who comes to us with gaps in teeth or crowded teeth starts with a complimentary consultation. During that first visit, we take digital X-rays and use our iTero scanner to get a precise picture of your teeth and bite. From there, we create a customized treatment plan designed around your specific needs and goals.

 

Treatment timelines vary depending on the complexity of the case, but most patients see meaningful progress within the first few months. We schedule regular check-ins to monitor your progress and make any necessary adjustments along the way.

Frequently Asked Questions About Gaps and Spacing

Can gaps in teeth close on their own? 

In children, some gaps close naturally as permanent teeth come in. In adults, gaps rarely close without treatment and may actually worsen as teeth shift over time.

 

Is it harder to treat crowded teeth than gaps? 

Both crowding and spacing require careful planning, but neither is necessarily more difficult than the other. The complexity depends on the individual case, which is why a thorough consultation is so important.

 

What happens after treatment? 

Once your teeth have moved into their new positions, we fit you with a retainer to keep them there. Wearing your retainer as directed is essential to maintaining your results long-term.

 

How long will treatment take? 

Treatment length varies by patient. Mild spacing issues may be corrected in as little as several months, while more complex cases involving both gaps and crowded teeth may take a year or longer.

 

Start Your Journey to a More Even, Confident Smile

If gaps or crowded teeth have been on your mind, we’d love to help you find the right solution. Our Cherry Hill team at My Orthodontist offers free consultations, flexible payment plans, and the kind of personalized care that makes the process feel manageable every step of the way. Reach out to us today at 856-428-1441 or visit us at 1930 Marlton Pike E, Building U, Cherry Hill, NJ 08003 to schedule your visit. Your best smile is closer than you think.

 

The content on this blog is not intended to be a substitute for professional medical advice, diagnosis, or treatment. Always seek the advice of qualified health providers with questions you may have regarding medical conditions.
string(82) "font-size: 30px; width: 30px; height: 30px;background-color: #f79420;opacity: 0.7;"